Hasűri problémák vizsgálata lovakban

A lovak hasűri betegségei több száz kórképet tömörítenek magukban. A nem heveny tünetekkel járó hasűri betegségek diagnosztizálási lehetősége az elmúlt 20 évben - az ugrásszerűen bővülő ismeretanyagnak és a korszerű orvosi felszereléseknek köszönhetően sokat változott, így lovad kivizsgálása ma már tartási helyén is elvégezhető.
Milyen hasűri betegségekről lehet szó?
Legalább 30-40 gyakoribb kórképről beszélhetünk, ilyen pl. a gyomorfekély, a különböző bélgyulladások, májbetegségek, húgykövesség, hashártyagyulladás, hasűri és bélfodri tályogok, infiltratív betegségek, vastagbélfekély, daganatok, stb.
Milyen tünetekkel járhatnak ezek a betegségek?
A gyakoribb tünetek közé tartozik: teljesítménycsökkenés, fogyás, csökkent vagy szelektív étvágy, időszakos hasmenés vagy éppen bélsárpangás és vizelési zavarok, kólikás tünetek.
Mit tegyél, ha ilyen jellegű problémát észlelsz lovadnál?
Ilyen esetben ajánlott egy alapos belgyógyászati kivizsgálást végeztetni a lovon, hogy kiderüljön a probléma forrása.
Milyen vizsgálatokból állhat egy hasűri belgyógyászati kivizsgálás?
A kórelőzmény felvétele és az alapos fizikális vizsgálat alapvető, mivel sok esetben már itt felmerül több betegség gyanúja, az egyes kórképek kizárásához azonban további kiegészítő vizsgálatok szükségesek.
Minden feltételezett hasűri problémánál indokolt a rektális vizsgálat elvégzése, amely során az állatorvos a ló végbelébe nyúlva áttapintja a hasűri szervek elhelyezkedését. Ezzel a módszerrel azonban egy átlagos méretű lóban a hasüreg kb. 30-40%-a tapintható át, így a esetek többségében a diagnózis meghozásához nem elég.
Ha a tünetek utalnak rá, egy alapos szájüregi vizsgálat is ajánlott. Megfelelő rágófelszín nélkül a ló táplálékfelvétele zavart szenved, a tápanyagok felszívódása romlik, valamint a rosszul megrágott takarmány kólikára és más emésztőszervi betegségekre hajlamosíthat. Ne felejtsük el: a ló őrlőfog-felszínének korrekciója alapvető, élethosszig tartó teendő a lovak egészségvédelmében.
Az emésztőszervi kivizsgálások része a bélsár parazitológiai vizsgálata is, hiszen a parazita fertőzöttség a lovak általános állapotára, egészségére, takarmányhasznosítására és a teljesítményére is hatással van.
Ezeknél a kórképeknél is kiemelt szerep jut a rutin vérvizsgálatnak és megfelelő kiértékelésének (nem összekeverendő a hatóságilag előírt kötelező szerológiai vérvizsgálatokkal). A vérkép információt szolgáltat a szervek állapotáról (máj, vese, izom, csontvelő), szervezet elektrolit és sav-bázis háztartásáról (nátrium, kálium, klór, bikarbonát), és az anyagcsere mutatókról (cukor, vérzsír, stb.), valamint segítségével a betegség lefolyása monitorozható. Ezt a vizsgálatot minden emésztőszervi betegségnél érdemes elvégezni. Itt olvashatsz erről bővebben:
Kapcsolódó cikk
A vérlabor mellett a különböző testűri folyadékok/váladékok (pl. hasűri folyadékgyülem) elemzése és a biopsziák (pl.: patkóbél vagy rectum biopszia) is fontos részét képezhetik a diagnózisnak. Ezek megfelelő levétele és labor általi kiértékelése kritikus fontosságú lehet a diagnózis szempontjából.

A felszívódási tesztek bizonyos típusú bélgyulladások diagnosztizálására szolgálnak, ezek során egyszerű cukrok bélből való felszívódása vizsgálható.
Ha a tünetek indokolják, a vizelet vizsgálata is szükséges lehet. Erre több laboratóriumi módszer is rendelkezésre áll. Egy egyszerű tesztcsíkkal történő vizsgálatnál a vizelet sűrűsége mellett annak fehérje, alakos elem, üledék tartalma határozható meg kvalitatív vagy szemi-kvantitatív módon. Míg szofisztikáltabb módszerekkel komplex biokémiai, mikrobiológiai és citológiai vizsgálatok is végezhetők.
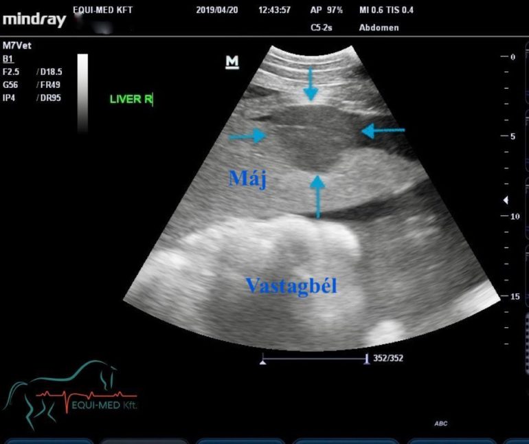
Az ultrahang az egyik legfontosabb diagnosztikai eszköz, ami az elmúlt évtizedekben került be a kiegészítő vizsgálatok sorába és igazi áttörést hozott a belgyógyászati betegségek diagnosztizálásában és kezelésében. A vizsgálathoz a legtöbb esetben nem szükséges a szőrt lenyírni (kivéve, ha nagyon hosszú), és a legtöbb lovat bódítani sem kell. Egy megfelelő ultrahanggal egyedülállóan jól vizsgálható az összes belső szerv (pl.: lép, a máj, a vesék, emellett a vékony-, és vastagbelek, a gyomor, a rekesz, a hashártya; valamint csikókban a köldökstruktúrák) és akár már néhány milliméteres elváltozások is észrevehetők.

Egy másik korszakalkotó eszköz a digitális mobil endoszkóp, ami a légutak vizsgálatán kívül a gyomor, a nyelőcső és patkóbél első szakaszának vizualizálására is használható. Ehhez azonban hosszabb, 3 méter hosszú eszköz szükséges. A gasztroszkópia (gyomortükrözés) az egyetlen mód jelenleg, amellyel a gyomorfekély diagnosztizálható. Tévhit az, hogy a vizsgálatot megelőző 16-18 órás éheztetés problémát okozna lónak, viszont egy nem diagnosztizált fekély számos súlyos probléma forrása lehet, a diagnózis nélküli kezelés pedig drága és hatékonysága ellenőrizhetetlen.

Összeségében elmondható, hogy a mobil diagnosztikai eszközök robbanásszerű fejlődésével mára ambuláns módon bármilyen vizsgálat elvégezhető a ló tartási helyén minden nehézség és felesleges stressz nélkül.
Az Equi-Med Kft. célja a magas szintű lóbelgyógyászati szolgáltatás nyújtása. Amennyiben lovadnak belgyógyászati (légzőszervi, emésztőszevi stb.) problémája van, az Equi-Med Kft. állatorvosai rendelkezésedre állnak:
- dr. Horti Klára: +36 (30) 360-11-18, horti.klara@equimed.hu
- dr. Tóth Balázs: +36 (30) 181-38-87, toth.balazs@equimed.hu
Cikk szerzője: dr. Horti Klára és dr. Tóth Balázs - Equi-Med Kft.
Fotó: Pixabay, Equi-Med Kft.
Kommentek